Transseptale Valve-in-Valve-Implantation
bei degeneriertem Mitralklappenersatz

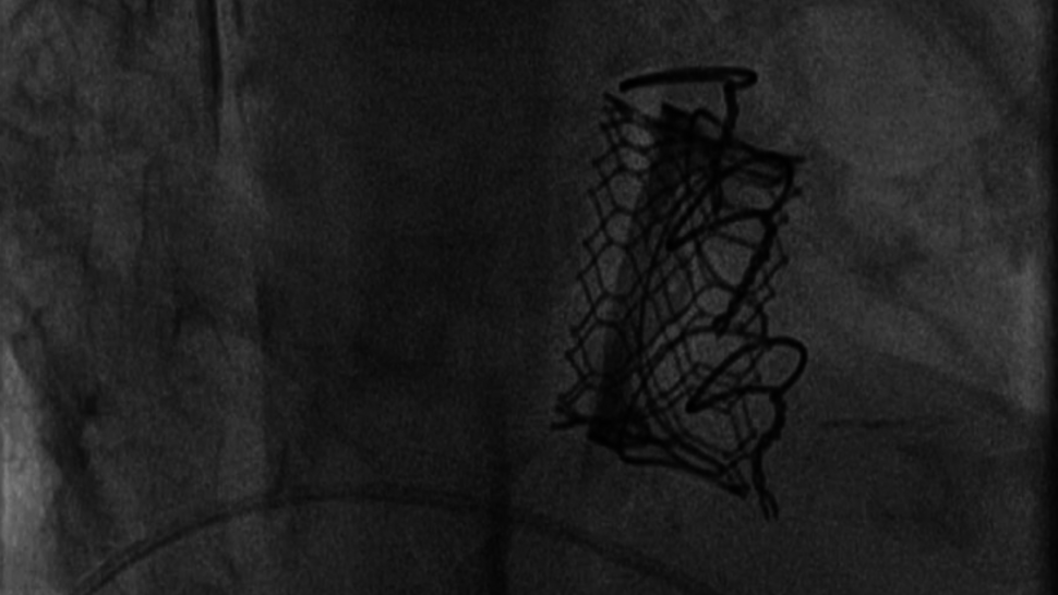
Bei einer Patientin mit hochgradiger Stenose eines degenerierten Mitralklappenersatzes wurde erfolgreich eine transseptale Valve-in-Valve-Implantation durchgeführt.
Die präinterventionelle Echokardiographie zeigte eine hochgradige Mitralklappenstenose mit einer effektiven Mitralklappenöffnungsfläche (MÖF) von 0,4 cm² sowie einem mittleren transmitralen Druckgradienten (Pmean) von 9–10 mmHg. Der Eingriff erfolgte vollständig kathetergestützt über einen transseptalen Zugang, ohne erneute Sternotomie. Die Implantation der Klappenprothese verlief komplikationslos. Postinterventionell zeigte sich eine deutliche hämodynamische Verbesserung mit einem mittleren transmitralen Druckgradienten von nur noch 2 mmHg.
Der Fall unterstreicht das Potenzial minimal-invasiver katheterbasierter Klappentherapien auch bei komplexen Re-Interventionen und bietet insbesondere für Patient*innen mit hohem operativem Risiko eine effektive und schonende Behandlungsoption.
Ansprechpartner

Kontaktinformationen
- Telefon: +49 551 3963907
- Telefax: +49 551 3922953
- E-Mail-Adresse: ktoischer(at)med.uni-goettingen.de
Leiter interventionelles Herzklappenprogramm - Kardiologie
Anmeldung: Tel. 0551-39-60700 | Fax. 0551-39-60701
E-Mail. kardiologie.casemanager(at)med.uni-goettingen.deLeiter Intensivmedizin
Facharzt für Innere Medizin und Kardiologie
Zusatzbezeichnungen/-qualifikationen: Intensivmedizin, interventionelle Kardiologie, Herzinsuffizienz, aktive Herzrhythusimplantate